Dr. Nicolas Enrique Bitar Mejia

Ortodoncista, Odontólogo

¡Reserve una visita! Saber más

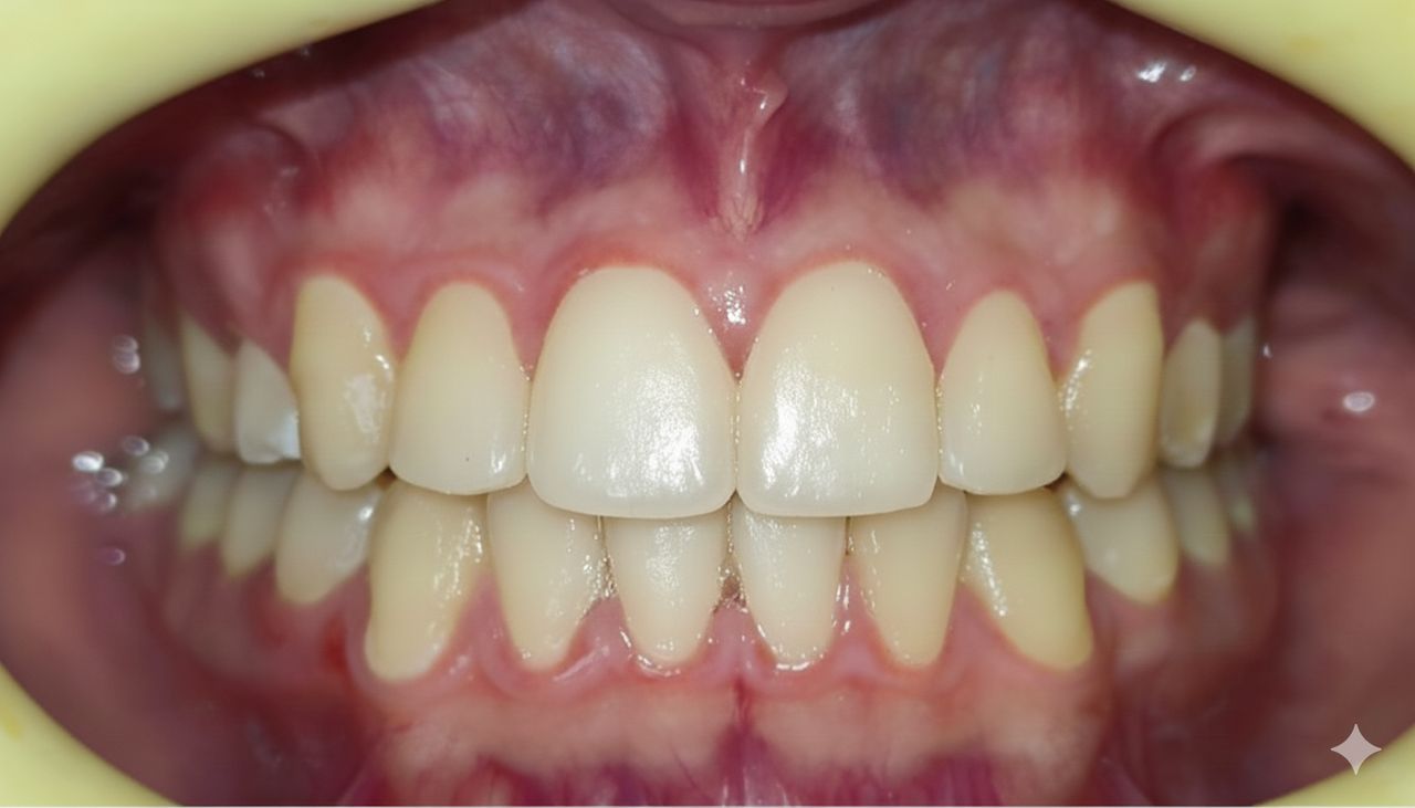
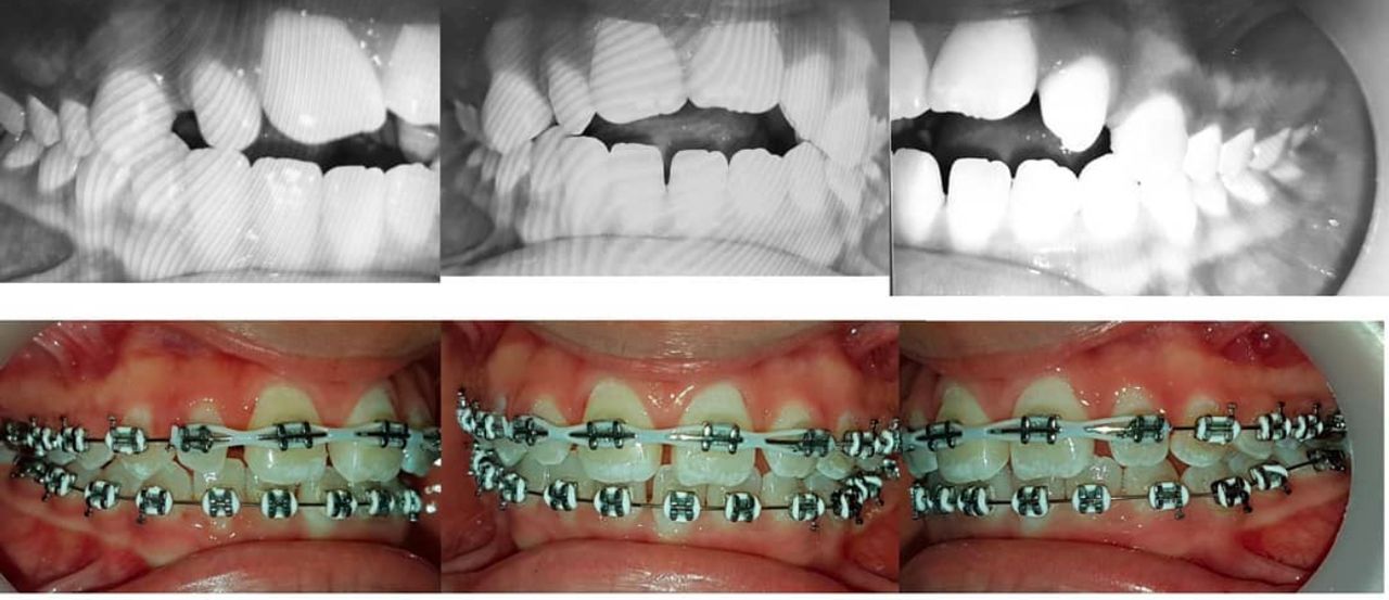
Ortodoncista y Ortopedista maxilar funcional con dedicación exclusiva y trayectoria académica. Mi enfoque es simple: técnicas modernas, aparatología cómoda para resultados excelentes con un trato amable y honesto. me apasiona usar mi experiencia para que vuelvas a sonreír con seguridad. Espero verte pronto en mi consulta!

Especialidades

  • Ortodoncia
  • Ortopedia Maxilar

Núm. Colegiado

  • 13501940

Formación

  • U Metropolitana de Barranquilla - Odontólogo
  • U Cooperativa de Colombia - Ortodoncista
  • U Antonio Nariño - Ortopedista Maxilar Funcional

Idiomas

  • Español

Certificados

Premios y reconocimientos

  • Reconocimiento de la Universidad Antonio Nariño por su trayectoria en la formación de profesionales de la odontologia

Enfermedades tratadas

  • Alteraciones del desarrollo dental
  • Discrepancias de los maxilares
  • Malposiciones dentales
  • Dientes torcidos
  • Dientes apiñados
  • Bruxismo
  • Odontalgia
  • Pulpitis
  • Dolor dental
  • Encías inflamadas
  • Implantes dentales

Reservar cita

INTEGRAL

Avenida 1 # 20-61
540006 Cúcuta, Norte de Santander
Llame al especialista

¡Seleccione la fecha apropiada y concierte una cita!

Consultorio virtual (en línea)



Llame al especialista

¡Seleccione la fecha apropiada y concierte una cita!

Precios

Visita Odontología Sin especificar
Rehabilitación Oral Desde 80000 $
Prótesis dental REMOVIBLE, parcial o total Desde 80000 $
Periodoncia e implantes dentales 80000 $
Ortopedia maxilar Sin especificar
Ortopedia funcional Sin especificar
Ortodoncia Sin especificar
Invisalign Desde 150000 $
Implantología Desde 80000 $
Endodoncia Desde 105000 $
Diseño de sonrisa Desde 80000 $
Cirugía Oral Desde 150000 $
Blanqueamiento dental Desde 80000 $
Aclaramiento - blanqueamiento dental Desde 80000 $
Consulta en línea Sin especificar

Opiniones de los pacientes

Excelente la atención de todo el personal de la clinica
Paciente
Paciente
Puntualidad en la cita y un excelente trato a si sus pacientes
Paciente
Paciente
Excelente atención y tratamiento, gran profesional.
Paciente
Paciente
muchas gracias excelente atención y dedicación y por estar pendiente del proceso de mí hija y el mio
Paciente
Paciente
Muy buena atención. Son muy profesionales. Excelente servicio
Paciente
Paciente
El doctor brinda una información muy detallada sobre el tratamiento y la atención es excelente. Estoy muy satisfecho con el proceso que llevo y confío en que los resultados van a ser muy positivos.
Paciente
Paciente
Excelente atención por parte del Dr. Nicolás Bitar. Muy profesional, puntual y cuidadoso en cada procedimiento. Explica todo con claridad y transmite mucha confianza. La atención en la clínica odontológica fue excelente. Totalmente recomendado.
Paciente
Paciente
Dr Nicolás muy profesional, empático, muy buena atención al paciente y excelencia técnica.
Paciente
Paciente
Atención inmejorable, excelentes ubicación. Personal muy atento. Parqueadero. Vigilante y el Doctor me atendió como lo que es. Todo un profesional... Lo recomiendo a ojos cerrados.. encantada
Paciente
Paciente
me gustó mucho la atención. El Dr maneja mi caso con mucha responsabilidad y veo excelentes resultados en mi tratamiento
Paciente
Paciente
Excelente atención, el Dr Nicolas es un excelente profesional eficiente y empatico, mi hija se ha sentido muy bien en su proceso de ortodoncia.
Paciente
Paciente
Excelente experiencia, muy amable y me explicó todo con mucha paciencia, es muy puntual en las citas también me gustó mucho eso, aparte no sentí ningún dolor durante la consulta.
Paciente
Paciente
Excelente persona muy profesional en su trabajo garantizado seguridad y confianza en cada uno de los procedimientos odontólogos.
Paciente
Paciente
Excelente persona, es muy profesional en su trabajo.
Paciente
Paciente
Mi tratamiento fue muy eficiente con excelentes resultados , la atencion es muy agradable y muy profesional.
Paciente
Paciente
Excelente doctor, excelente profesional, buen tratamiento, y excelente atención
Paciente
Paciente
Muy buen trato y manejo hacia el paciente, lo cual me parece bueno para la satisfacción de mi proceso odontólogico
Paciente
Paciente
Tienen buena atención y paciencia para los niños lo recomiendo
Paciente
Paciente

¿Quieres concertar una cita?

¡Reserve una visita! Contactar conmigo